Dalia Herzog Dalia Herzog

Was ist Hufrehe überhaupt?

Was ist Hufrehe überhaupt?

Man kann bei einer Hufrehe drei verschiedene Arten unterscheiden:

  • Die Vergiftungsrehe: Diese Form der Hufrehe wird beispielsweise ausgelöst durch Giftpflanzen, durch bestimmte Medikamente oder die Aufnahme anderer toxischer Substanzen. Auch ein plötzlicher starker Futterwechsel kann unter Umständen eine Vergiftungsrehe provozieren. Bei einer Vergiftungsrehe durch falsches Futtermanagement wird die Darmbarriere so stark geschädigt, dass Darmbakterien absterben und Endotoxine freisetzen. Sind diese in ausreichender Konzentration vorhanden, führen sie zur Schädigung der lamellaren Strukturen des Hufbeinträgers. In der Folge entsteht eine Hufrehe. Ähnlich verhält es sich mit anderen Giftstoffen im Blutkreislauf des Pferdes. Eine Vergiftungsrehe entsteht meist akut und betrifft häufig den gesamten Körper. Zusätzliche Symptome können Durchfall, Koliksymptome, Fieber und ein stark abfallender Allgemeinzustand sein.

  • Die Belastungsrehe: Eine Belastungsrehe entsteht, wenn ein Bein stark überlastet wird. Das kann beispielsweise vorkommen, wenn ein Vorderbein durch eine Verletzung stark entlastet wird und das andere Bein dadurch mehr Last aufnehmen muss. Das kann zu einer dauerhaften Überlastung und mechanischem Stress für die Lamellen bis hin zum strukturellen Versagen des Hufbeinträgers führen. Die Hufrehe entsteht dann nicht auf beiden Vorderbeinen bzw. allen vier Hufen, sondern nur am überlasteten Bein. Das unterscheidet diese Form der Hufrehe von den anderen und macht sie auch so selten. Häufig wird die Belastungsrehe fehldiagnostiziert! Eine falsche Hufbearbeitung führt in den wenigsten Fällen zu einer Belastungsrehe, dennoch wird dieser Punkt gerne als Diagnosekriterium von Tierärzten verwendet. In vielen Fällen einer fehldiagnostizierten Belastungsrehe, handelt es sich um eine endokrinopathische Hufrehe.

  • Die endokrinopathische bzw. hyperinsulinämie-assoziierte Hufrehe: Diese Form der Hufrehe betrifft die meisten Hufrehe-Patienten. Sie entsteht durch einen anhaltenden erhöhten Insulinspiegel im Blut (Hyperinsulinämie) in Folge einer Insulindysregulation. Krankheiten die diese Form der Hufrehe begünstigen sind das Equine Metabolische Syndrom (EMS) oder die Pituitary Pars Intermedia Dysfunction (PPID oder früher als Equines Cushing Syndrom bekannt). Die Hufrehe ist dabei nur das Symptom einer größeren Stoffwechselerkrankung, die den Insulin- bzw. Zuckerstoffwechsel betreffen. Frühe Anzeichen für die Stoffwechselerkrankungen liegen meist schon Monate bis Jahre vor der Hufrehe vor und können das Pferd unter Umständen stark beeinträchtigen. Beim Ausbruch der Hufrehe sind meist bereits starke Schädigungen am Hufbeinträger unbemerkt durch die dauerhaft hohe Ausschüttung von Insulin (Hyperinsulinämie) entstanden.

Was genau passiert bei einer Hufrehe im Huf?

Kurz gesagt: Unterschiedliche Umstände führen bei allen Arten der Hufrehe zum selben Ergebnis → Der Verlust der Verbindung zwischen Hufbein und Hornkapsel und damit zum mechanischen Versagen des Hufbeinträgers. Um diesen Prozess erklären zu können, müssen einige Begrifflichkeiten definiert werden. Vorab ist mir nur wichtig zu sagen: Nur weil das Ergebnis ähnlich ist, darf nicht auch die Behandlung ähnlich sein!

Wichtige Begriffe im Zusammenhang mit Hufrehe:

  • Das Hufbein ist ein verhältnismäßig kleiner Knochen der in der Hornkapsel eingebettet liegt, doch ist er das letzte (am weitesten distal liegende) Glied des Pferdeskeletts und trägt somit das gesamte Körpergewicht des Pferdes.

  • Der Hufbeinträger kann als “Aufhängung” des Hufbeins in der Hornkapsel bezeichnet werden. Er hat eine wichtige Funktion bei der Stoßdämpfung und Kraftübertragung bei jedem Schritt, den ein Pferd geht. Der Hufbeinträger wird aus zwei ineinandergreifenden Hornprodukten der Wandlederhaut und der Lamellenlederhaut gebildet. Dieses fein verzahnte System wird als Lamellenstruktur bezeichnet und sorgt dafür, dass die Kontaktfläche zwischen Hufbein und Hufwand vergrößert wird. Dadurch wird ermöglicht, dass die Verbindung sowohl stabil, aber dennoch flexibel ist und größere Kräfte aufgenommen und kompensiert werden können. Das Hufbein liegt also gut eingebettet in ein elastisches und zugleich starkes Aufhängesystem.

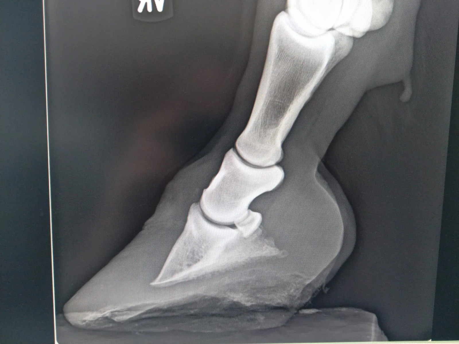
  • Die Hufbeinrotation kann von einer Kapselrotation unterschieden werden. Die Hufbeinrotation bezeichnet die Rotation des Hufbeins um die Huf-Fessel-Achse. Die Spitze des Hufbeins kippt dabei nach unten, die Hufbein-Fessel-Achse wird nach vorne gebrochen und die Sohle und Sohlenlederhaut erfahren im Bereich der Hufbeinspitze starken Druck. Bei der Kapselrotation rotiert die Hufkapsel vom Hufbein weg. Die Hufbein-Fessel-Achse bleibt dabei unverändert. Dieses Wegrotieren kann durch eine Hufrehe, aber auch in geringerem Umfang durch eine zu lange Zehe entstehen. In beiden Fällen kann eine Hufrehe ursächlich sein und beide Fälle entstehen in Folge eines zerstörten Hufbeinträgers und somit in Folge eines nicht funktionalen Aufhängeapparats des Hufbeins.

  • Bei einer Hufbeinsenkung sinkt das Hufbein innerhalb der Hornkapsel in Richtung Sohle ab. Auch hier ist das mechanische Versagen des Hufbeinträgers in Folge einer Hufrehe ursächlich. Röntgenologisch wird hierbei der Abstand zwischen Kronrand und der Oberkante des Hufbeins betrachtet. Ist der Abstand vergrößert, spricht man von einer Hufbeinsenkung.

Aber was passiert denn nun bei einer Hufrehe im Huf?

Es gibt mittlerweile viele Studien über Hufrehe, viele Theorien über Hufrehe, aber auch ganz viele Widerlegungen der bisherigen Erkenntnisse. Das ernüchternde an der Hufrehe-Thematik: Wir wissen, dass wir nichts wissen! Das Ergebnis der meisten Hufrehen: Der Hufbeinträger wird zerstört, das Hufbein sinkt oder rotiert in der Folge. Aber wir wissen immernoch nicht, welche Mechanismen genau dafür zuständig sind und warum Hufrehe nicht bei jedem Pferd gleich abläuft. Die Theorien, die dazu bestehen, können nicht auf alle Pferde einer Hufrehe-Ursache übertragen werden und somit kann auch ich nicht genau sagen, was bei jedem Pferd Schritt für Schritt im Huf abläuft. Die Studien der nächsten Jahre werden hoffentlich Klarheit in das Durcheinander der bestehenden Theorien bringen.

Der Schwerpunkt meiner Arbeit liegt bei Pferden, die aufgrund einer endokrinopathischen Ursache eine Hufrehe entwickeln. Deshalb wird es in den folgenden Blogbeiträgen vornehmlich um diese Art der Hufrehe gehen. Bei mir gibt es nur wissenschaftlich belegte Informationen und kein Halbwissen, weil es mein Anspruch ist, Klarheit, Sicherheit und Orientierung in das wirre Feld der Hufrehe zu bringen.

Bei Fragen schreib mir gerne und wir finden gemeinsam raus, wie wir dein Pferd bestmöglich unterstützen können!

Weiterlesen